 
        Author(s): Medhi RK, Goswami D
Cite this article as: Medhi RK, Goswami D. Management Of The Radicular Cyst By Surgical Enucleation With Bone Graft And Platelet-rich-fibrin. Int J Health Res Medico Leg Prae 2024 Jul-Dec;10(2):52-56.
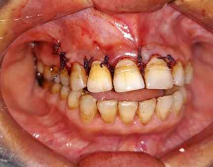
Radicular (periapical cysts) are the inflammatory type of odontogenic cysts associated with the root of non-vital teeth, typically asymptomatic. Radiographically, they appear as oval or pear-shaped unilocular radiolucency in the periapical region. Cyst development is the final stage of the inflammatory process after a periapical infection; hence, it often occurs later in life. Radicular cysts in the maxilla can occasionally spread across the maxillary sinus. The treatment modalities include endodontic treatment, enucleation with primary closure, and removal of the problematic tooth. Hence, the present study describes a successful case of endodontic treatment and surgical enucleation followed by placement of demineralised-freeze dried bone allograft (DFDBA) and platelet-rich-fibrin (PRF).
Article reads consist of online article views and PDF downloads.
Views
388
Downloads
3